お口全体を撮影するレントゲンです。おおまかな歯周病の進行度、むし歯の確認、過去に神経を取った歯の確認などを行います。歯茎や骨に埋まっている親知らずの確認も行います。
歯科ドック
歯科ドックとは

ご自身の身体の状態を調べる目的で「人間ドック」と呼ばれる健康診断の方法があります。予防医学の観点から、自覚症状の有無に無関係で精密検査を受け、普段気づきにくい疾患や異常や健康度などをチェックするものです。
医療制度の関係で、一般的に「人間ドック」には歯科の分野が入っていません。ですが、お口も身体の中の1つの器官であり、切り離して考えることはできません。そのため、お口の状態の精密検査として「歯科ドック」が存在します。
人はお口から食物を摂取し、お尻から排泄することで生きることができる生き物です。そのため、入り口であるお口の機能が損なわれることは、全身の健康を損ねることにつながります。
ご自身のお口の健康状態を把握し、治療や健康作り、予防に役立てていただくことを目的に当院では「歯科ドック」をおすすめしております。
※保険診療には様々な制限があるため、「歯科ドック」を行うことはできません。
※「歯科ドック」は自費検査として行います。
歯科ドック(検査・説明込み) | 66,000円 税込 |
---|
歯科ドック検査項目

自覚症状などがない方の状態把握の目的で行われる各種精密検査は、最善の治療を計画するための現状把握にも有効です。
パノラマエックス線写真
-
顔貌写真(6枚)
お顔全体に対するお口元の見え方を評価します。前歯の位置関係や突出度を確認することで矯正治療や被せ物の治療にも役立ちます。
-
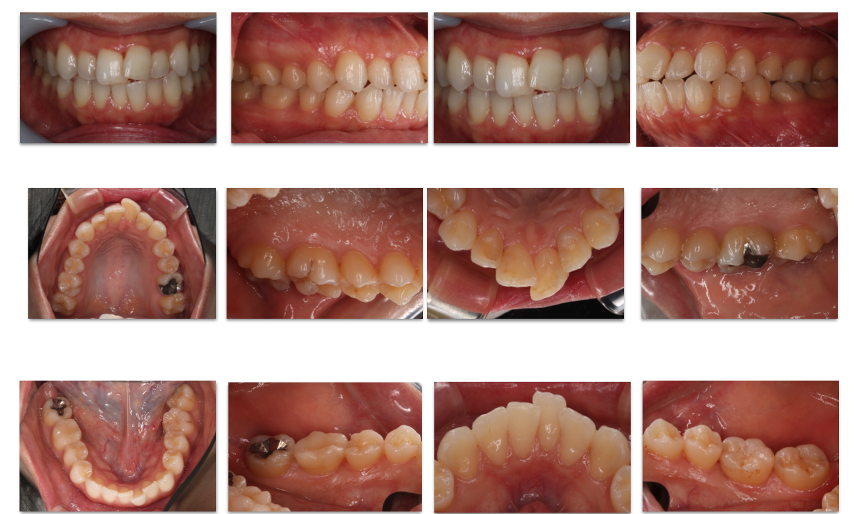
口腔内写真(12枚)
レントゲンではわからない、歯茎の状態や、詰め物、被せ物の状態などを確認します。普段目にすることのない、裏側(舌側)の評価も行い
ます。 -
う蝕(むし歯)検査
(拡大視野下視診)裸眼ではお口の中の細かい情報を汲み取ったり、小さなむし歯を見つけることは困難です。当院では、拡大鏡(ルーペ)を用い、6倍、8倍などに拡大した環境で細かくチェックを行います。
-
歯周精密検査
全ての歯の歯周ポケットを6点ずつ測定し、歯周病の進行度を調べます。保険診療で一般的に行われる歯周基本検査(簡易検査)に比べて精度の高い診断を行います。
-
PCR(プラークコントロールレコード)
歯の表面を染色し、歯垢(プラーク)の付着状況を調べます。ご自身の歯磨きがどの程度適切に行われているかを確認することができます。
-
デンタルエックス線写真(10~14枚)
パノラマエックス線写真ではわかりづらい、細かな部分の評価に用いるレントゲンです。歯周病やむし歯の細かい診断に有効です。
-
CT検査
2次元ではわかりづらい部分を3次元的に見ることで、情報量が増え、診断の精度が高まります。歯の根の先が膿んでいる状態や顎の骨の厚みなどもわかるため、治療法を検討したり選択するための根拠となったりします。
-
模型検査
歯型を取って、歯の模型を作り、咬み合わせの状態や歯ぎしりなどを評価します。咬合器に装着することで、「顎位」と呼ばれる上下の顎の位置関係を評価することもあります。
-
デジタルスキャン検査
お口の中を専用のカメラで撮影し、デジタル上で歯や歯茎の状態を色々な方向から見ることができます。歯並びや咬み合わせの状態を評価し、治療した際のゴールのイメージを確認したりすることができます。
-
歯周病細菌検査
-
細菌顕微鏡検査
以下追加オプション:別途費用
歯周病の原因となる主な細菌の量を測定し、目には見えない細菌を数値で評価します。治療前後での評価に有効で、2回以上の検査を行うことをおすすめします。
お口の中の細菌を採取し、顕微鏡で観察することができます。目には見えない細菌が実際に動いている姿を見ることができ、治療前後の比較にも使用できます。
歯科ドックの流れ
- 予約
歯科ドックの検査には時間がかかりますので、完全予約制とさせていただいております。事前にお電話にて、「歯科ドック希望」とお伝えいただきご予約をお取りください。約2時間程度の時間を要しますのでお時間にゆとりを持ってご来院ください。
- 初診カウンセリング
最初に問診票を記入していただき、気になる点やお悩み、ご希望の内容などをカウンセリングでお伺いします。
- 歯科ドック検査
各種検査を行います。ご希望内容に応じて、検査内容や項目が患者様ごとに異なる場合があります。当日は検査のみですので結果のご説明のご予約をお取りいただきお帰りいただきます。
- 検査結果説明カウンセリング
(約1時間)検査結果のご説明とともに、問題がある場合はその原因や治療法についてもご案内させていただきます。ご自身のお口の状況を正しく理解することは、健康のために、適切な治療を選択するためにとても重要です。
お持ち帰りいただく資料もご用意させていただきますので、ご自身の健康状態の記録として見直していただくことも可能です。
治療をご希望される場合は、ご予約をお取りいただき次回より治療へ進みます。
診療メニュー 一覧はこちらから