歯周病の症例1
年齢:30代 男性
主訴
歯磨きをすると血が出る
現病歴
疼痛はなく、ブラッシング時の出血の自覚あり。知人から歯科医院の受診を勧められ当院に来院。
歯周組織検査 - 治療前

口腔内写真 - 治療前

レントゲン - 治療前

診断
広汎型慢性歯周炎ステージⅢグレードC
治療計画
- 歯周基本治療 ①患者教育
- 18、28、38、48抜歯
- 再評価検査
- 11、12歯周組織再生療法
- 16、17フラップキュレッタージ
- 術後管理
- 26、27、36、37、46、47再SRP(歯石除去)
- 再評価検査
- 修復治療(むし歯治療)
- 再評価検査
- SPT(定期メインテナンス)
②TBI(歯ブラシ指導)
③歯肉縁上縁下のSRP(歯石除去)
歯周組織検査 - 治療後

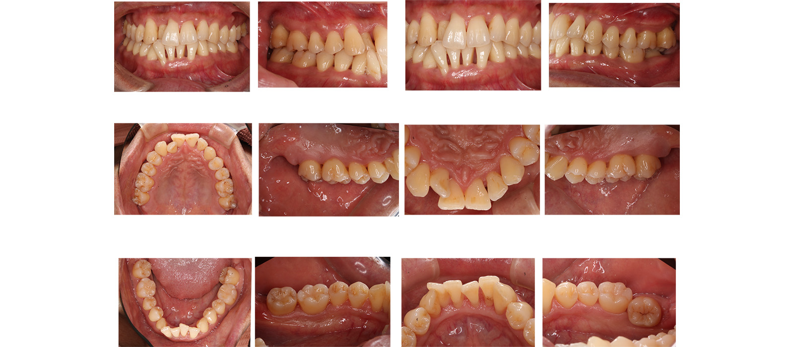
口腔内写真 - 治療後

レントゲン - 治療後

<担当歯科衛生士より一言>
現在も2ヶ月ごとに定期メインテナンスに来院されています。元々自身の口腔内の状態に危機感を持たれていませんでしたが、歯周治療を通して理解してくださり、積極的に治療に取り組んで頂き、外科処置も行いました。その結果、現在ご自身のセルフケアでしっかり管理ができており、歯磨きの際出血が認められなくなったことに大変喜ばれています。
初診WEB予約
受付中です!
ご予約・ご相談など
お気軽にお電話下さい
天満の歯医者|天満コンセプトP歯科
| 診療時間 | 月 | 火 | 水 | 木 | 金 | 土 | 日 |
|---|---|---|---|---|---|---|---|
| 9:00-13:00 | ● | ● | ◯ | - | ● | ● | - |
| 14:30-18:00 | ● | ● | - | - | ● | ● | - |
◯:水曜日の診療は9:00-13:30
休診日:木曜/日曜/祝日