症例集
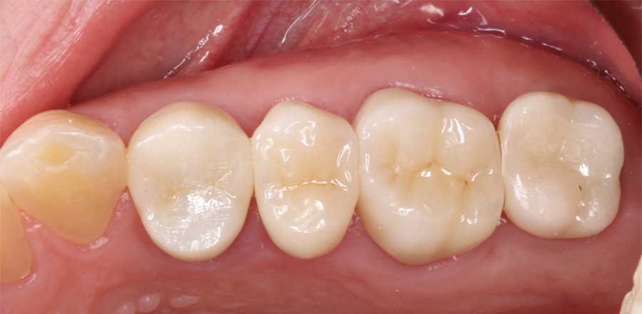
虫歯を防ぎたい【シーラント症例③】
虫歯を防ぎたい【シーラント症例②】
虫歯を防ぎたい【シーラント症例①】
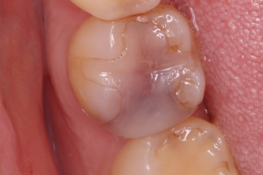
時々歯がしみる
【セラミックアンレー症例】
- 期間
- 約1週間
- 費用
- 99,000円(税込)
- 治療内容
- むし歯除去
セラミックアンレー
- 治療に伴うリスク
- 経年使用により、脱離や破折のリスクを伴う。
生活歯でう蝕が大きい場合は、神経を取る治療(根管治療)が必要となる場合がある。
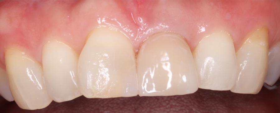
前歯を白く綺麗にしたい
【ダイレクトボンディング症例】
- 期間
- 約1ヶ月
- 費用
- ダイレクトボンディング1歯あたり
66,000円(税込)、
ホームホワイトニング
38,500円(税込)
総額 170,500円(税込)
- 治療内容
- ダイレクトボンディング、
ホームホワイトニング
- 治療に伴うリスク
- 経年使用により、脱離や破折、変色のリスクを伴う。
生活歯でう蝕が大きい場合は、神経を取る治療(根管治療)が必要となる場合がある。
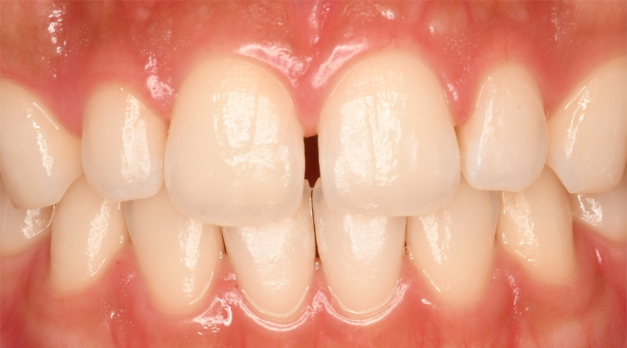
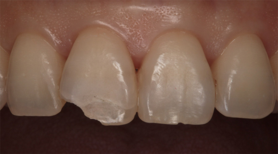
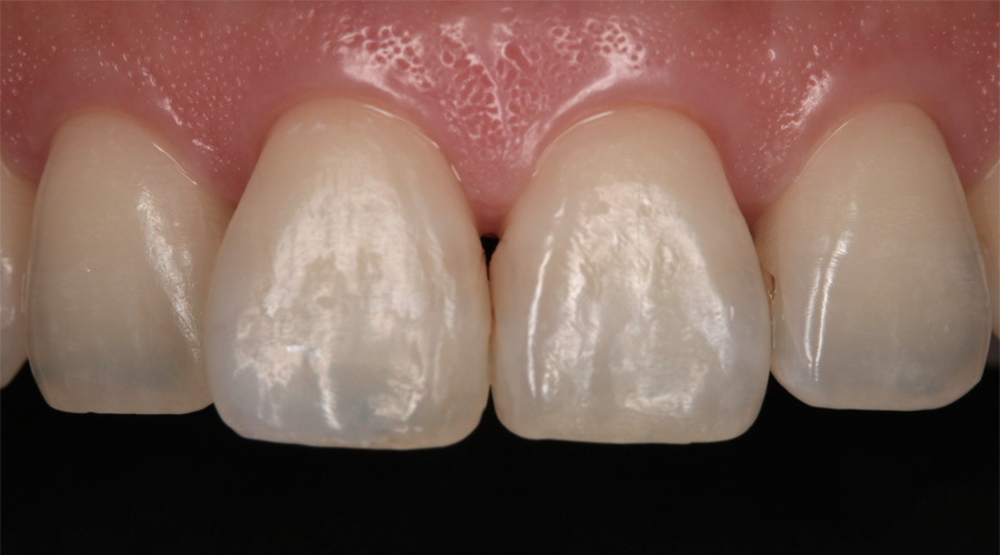
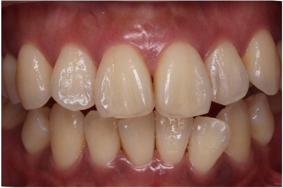
前歯の隙間気になる。
矯正以外でできることはないか
【ダイレクトボンディング症例】
- 期間
- 1日
- 費用
- 1歯あたり 66,000円(税込)
総額 132,000円(税込)
- 治療内容
- ダイレクトボンディング
- 治療に伴うリスク
- 経年使用により、脱離や破折、変色のリスクを伴う。
生活歯でう蝕が大きい場合は、神経を取る治療(根管治療)が必要となる場合がある。
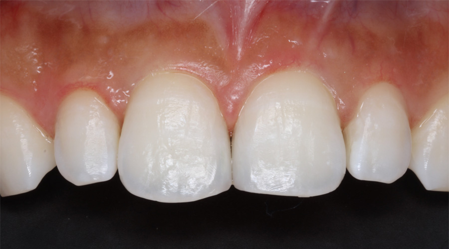
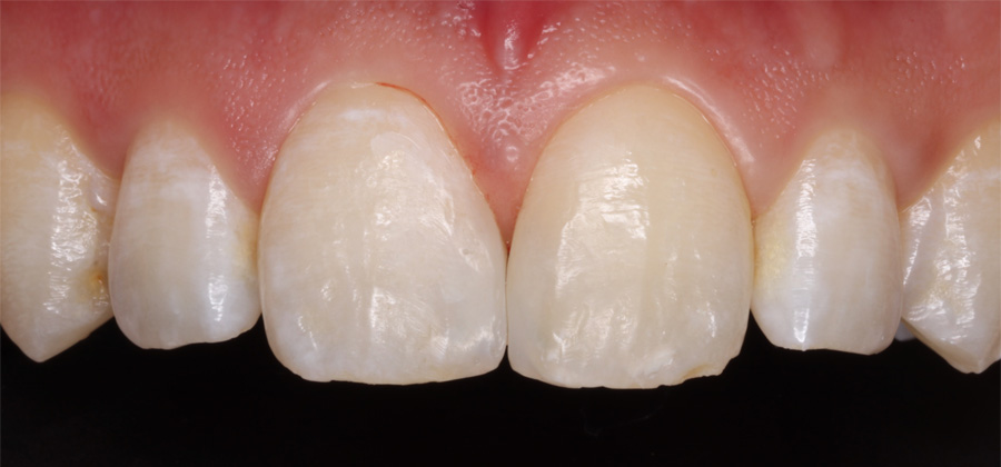
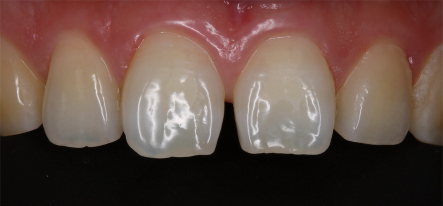
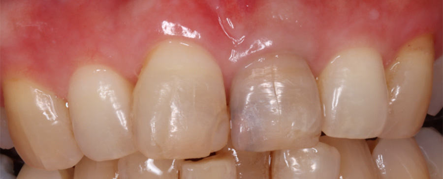
前歯を綺麗にしたい
(矯正は考えていない)
【ダイレクトボンディング症例】
- 期間
- 1日
- 費用
- 2本 110,000円(税込)
- 治療内容
- ダイレクトボンディング(上顎前歯)
う蝕治療・形態修正
- 治療に伴うリスク
- 経年使用により、脱離や破折、変色のリスクを伴う。
生活歯でう蝕が大きい場合は、神経を取る治療(根管治療)が必要となる場合がある。
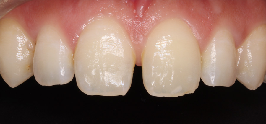
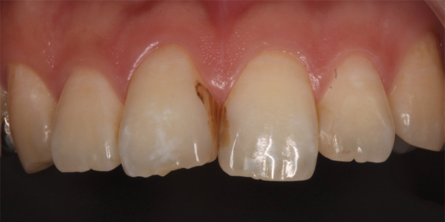
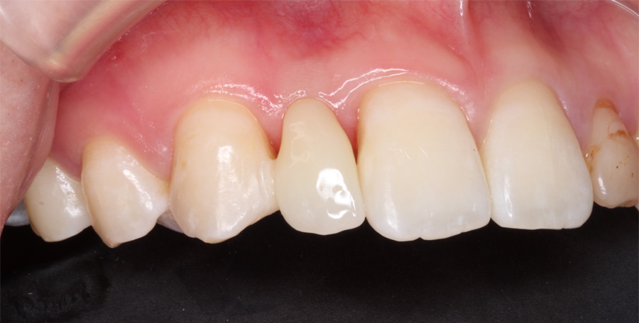
こけて打った歯を治したい
【ダイレクトボンディング症例】
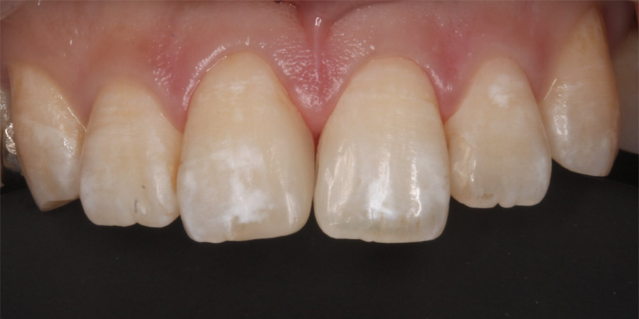
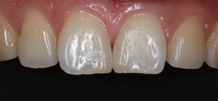
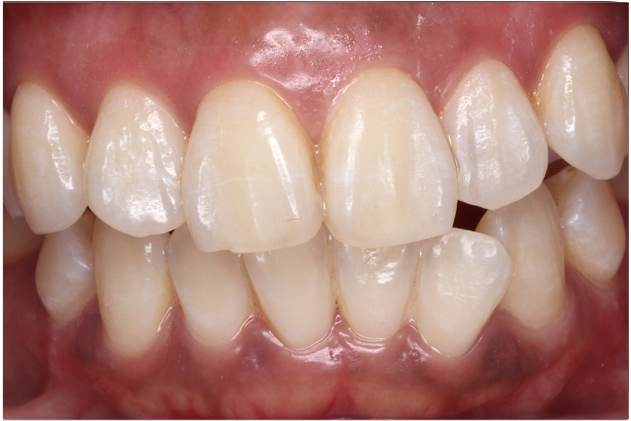
前歯の隙間が気になる
【ダイレクトボンディング症例】
- 期間
- 2週間
- 費用
- 2本 110,000円(税込)
- 治療内容
- ダイレクトボンディング(上顎前歯)
- 治療に伴うリスク
- 経年使用により、脱離や破折、変色のリスクを伴う。
生活歯でう蝕が大きい場合は、神経を取る治療(根管治療)が必要となる場合がある。
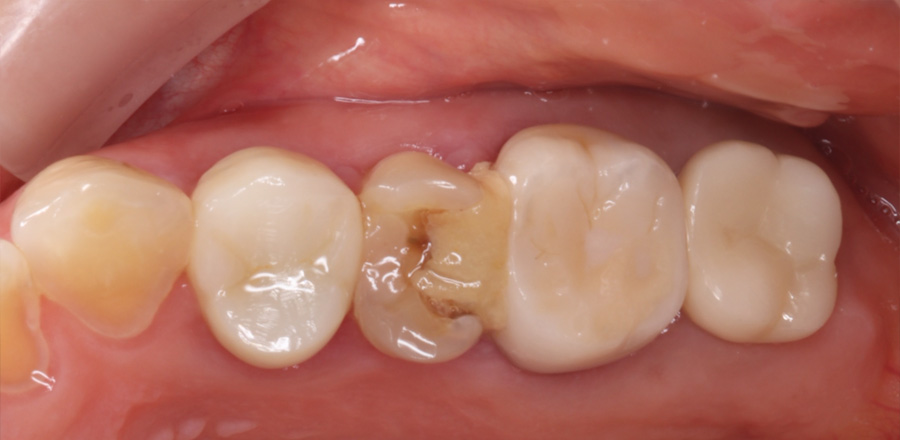
むし歯を治したい。
長くもつ治療をしてほしい
【オールセラミック症例】
- 期間
- 約1ヶ月
- 費用
- テンポラリークラウン(仮歯)2歯、ファイバーコア(土台)1歯、オールセラミッククラウン2歯
費用総額 341,000円(税込)
- 治療内容
- むし歯除去、セラミック治療(ジルコニアクラウン)
- 治療に伴うリスク
- 経年使用により、脱離や破折のリスクを伴う。
生活歯でう蝕が大きい場合は、神経を取る治療(根管治療)が必要となる場合がある。



















