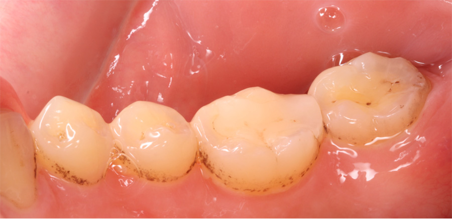
歯の表面の黒い模様が気になる
【エアフロー症例】
黒い模様は着色であることを説明しました。
コーヒーを毎日2〜3杯飲まれるとのことで、着色除去ができるエアフローをお勧めし実施いたしました。
痛みもなく、30分程度で除去できたため患者様も大変喜ばれていました。
現在、半年おきに施術を実施されています。
コーヒーを毎日2〜3杯飲まれるとのことで、着色除去ができるエアフローをお勧めし実施いたしました。
痛みもなく、30分程度で除去できたため患者様も大変喜ばれていました。
現在、半年おきに施術を実施されています。
治療前

治療後

治療前

治療後

期間 | 1日(30分) |
---|---|
費用 | 8,800円 |
治療内容 | エアフロー |
治療に伴うリスク | 準備中 |