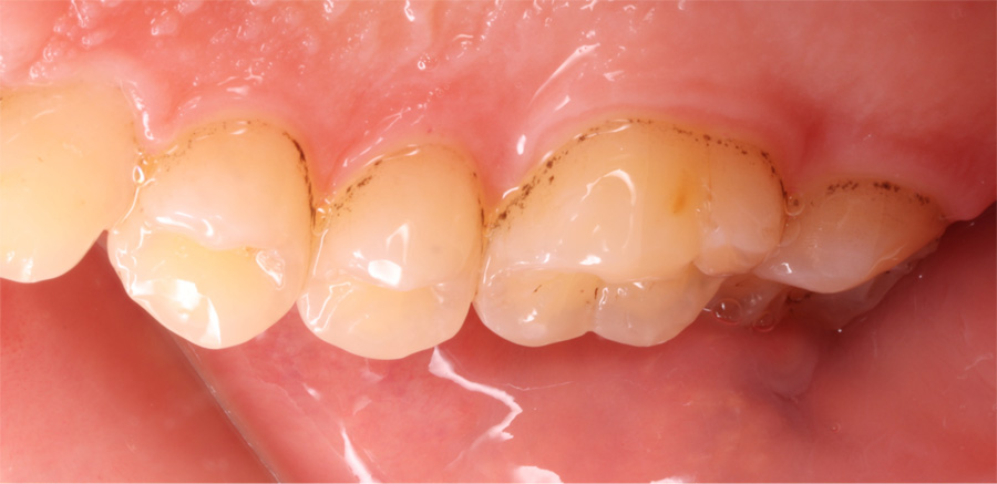
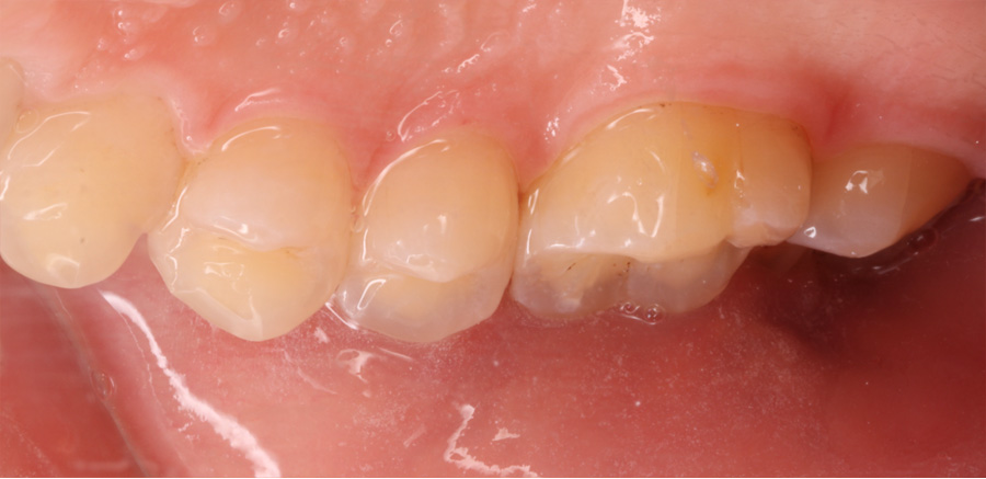
歯の黒ずみが気になる
歯の表面の黒い模様が気になる
【エアフロー症例】
- 期間
- 1日(30分)
- 費用
- 8,800円
- 治療内容
- エアフロー
- 治療に伴うリスク
- 歯肉に当たった際に、痛みや軽い傷、皮下気腫を伴う可能性があります。
歯の形態によって、また、歯質に入り込んだ着色の場合はエアフローでは除去しきれない場合もあります。
| 診療 時間 |
⽉-⼟ 9:00-18:00/⽔ 9:00-13:30/休診⽇ ⽊・⽇・祝⽇ | 06-6882-5151 |
|---|


WEB予約が埋まっていても、
当日受診可能な場合がございますのでお電話ください