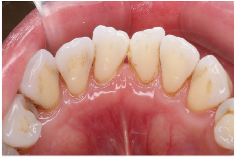
歯と歯の間の着色を除去したい
【エアフロー症例】
歯石除去後着色が気になるとのことで、着色除去を希望されました。
赤ワインがお好きで、前から気になっていたとのこと。
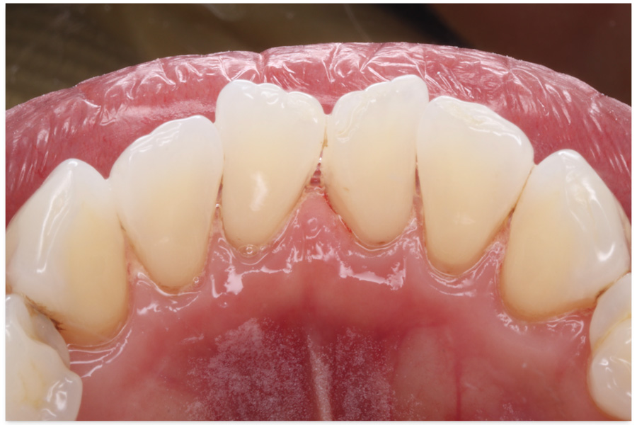
ここまで綺麗に除去できると思っていなかったとのことで喜ばれ、
その後、定期的に施術を希望されています。
赤ワインがお好きで、前から気になっていたとのこと。
ここまで綺麗に除去できると思っていなかったとのことで喜ばれ、
その後、定期的に施術を希望されています。
治療前

治療後

治療前

治療後

期間 | 1日(30分) |
---|---|
費用 | 8,800円 |
治療内容 | エアフロー |
治療に伴うリスク | 準備中 |