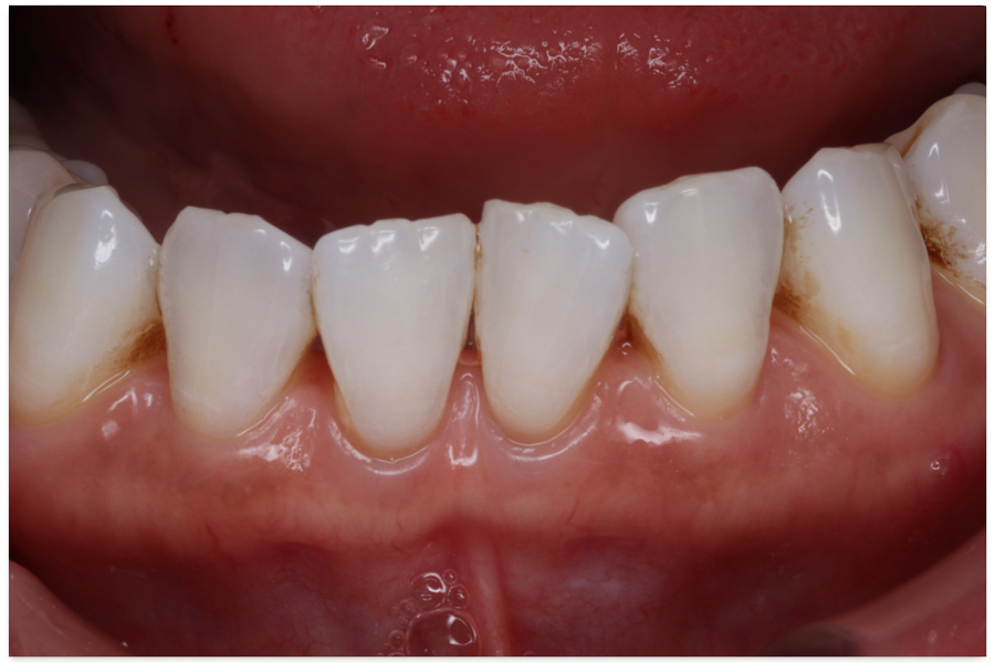
歯の表面の黒い模様が気になる
【エアフロー症例】
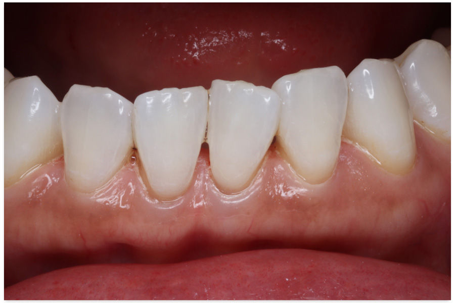
黒い模様は着色であることを説明しました。
コーヒーを毎日2〜3杯飲まれるとのことで、着色除去ができるエアフローをお勧めし実施いたしました。
痛みもなく、30分程度で除去できたため患者様も大変喜ばれていました。
現在、半年おきに施術を実施されています。
コーヒーを毎日2〜3杯飲まれるとのことで、着色除去ができるエアフローをお勧めし実施いたしました。
痛みもなく、30分程度で除去できたため患者様も大変喜ばれていました。
現在、半年おきに施術を実施されています。
治療前
治療後
治療前
治療後
| 期間 | 1日(30分) |
|---|---|
| 費用 | 8,800円 |
| 治療内容 | エアフロー |
| 治療に伴うリスク | 歯肉に当たった際に、痛みや軽い傷、皮下気腫を伴う可能性があります。 歯の形態によって、また、歯質に入り込んだ着色の場合はエアフローでは除去しきれない場合もあります。 |

