ホームホワイトニング症例
大学生の方で、時間は比較的融通が効く環境。
前から気になっていたホワイトニングに思い切ってチャレンジされました。
今後も定期的に、追加のホワイトニング(タッチアップ)をしていきたいというご希望がありましたので、
薬剤の追加購入で、いつでも追加が可能なホームホワイトニングを選択されました。
前から気になっていたホワイトニングに思い切ってチャレンジされました。
今後も定期的に、追加のホワイトニング(タッチアップ)をしていきたいというご希望がありましたので、
薬剤の追加購入で、いつでも追加が可能なホームホワイトニングを選択されました。
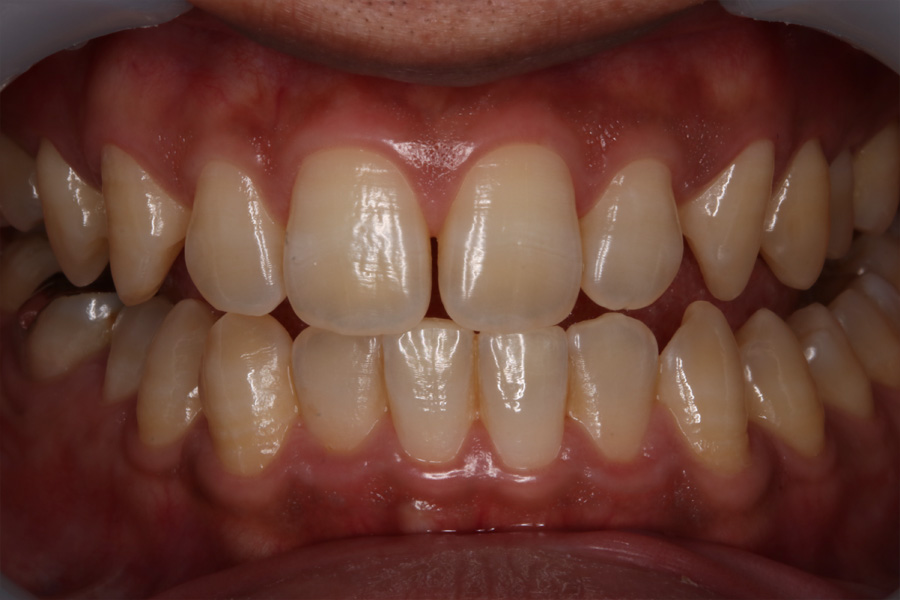
治療前
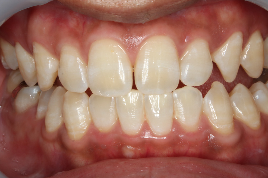
治療後
| 期間 | 約2週間 |
|---|---|
| 費用 | 38,500円(税込) |
| 治療内容 | ホームホワイトニング |
| 治療に伴うリスク | 一過性の知覚過敏症状や痛みを伴うことがある。 薬剤が歯肉に付着することで一時的に歯肉の変色や痛みをきたすことがある。 色調変化によって歯の白濁部が目立つことがある。 |





