ホームホワイトニング
前歯を白く綺麗にしたい
【ダイレクトボンディング症例】
- 期間
- 約1ヶ月
- 費用
- ダイレクトボンディング1歯あたり
66,000円(税込)、
ホームホワイトニング
38,500円(税込)
総額 170,500円(税込)
- 治療内容
- ダイレクトボンディング、
ホームホワイトニング
- 治療に伴うリスク
- 経年使用により、脱離や破折、変色のリスクを伴う。
生活歯でう蝕が大きい場合は、神経を取る治療(根管治療)が必要となる場合がある。
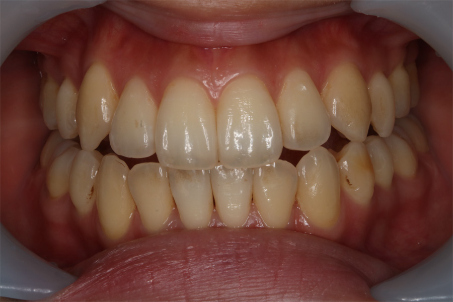
左上1番目の歯のむし歯や
色の暗さが気になる
【ラミネートベニア症例】
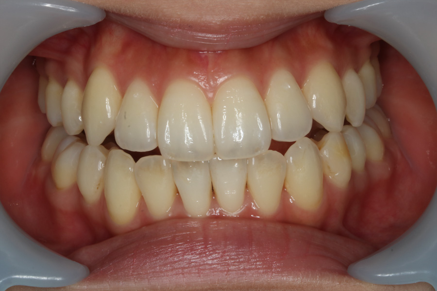
ホームホワイトニング症例
- 期間
- 約2週間
- 費用
- 38,500円(税込)
- 治療内容
- ホームホワイトニング
- 治療に伴うリスク
- 一過性の知覚過敏症状や痛みを伴うことがある。
薬剤が歯肉に付着することで一時的に歯肉の変色や痛みをきたすことがある。
色調変化によって歯の白濁部が目立つことがある。





