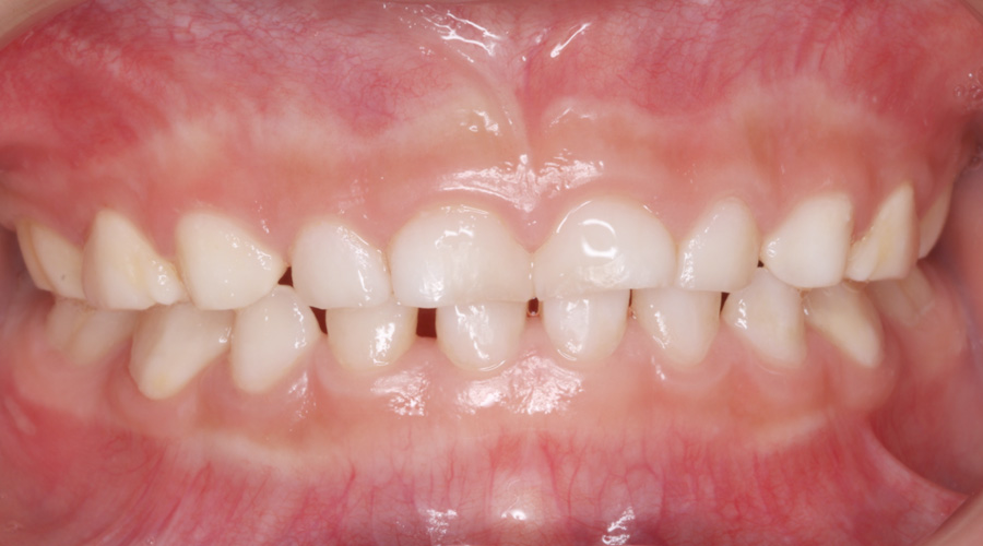
虫歯を防ぎたい【シーラント症例①】
0歳の歯が生え始めた頃から予防のために、ずっと定期的に歯科医院へ通院されているお子さんです。
歯磨きを嫌がるお子さんですが、親御さんの仕上げ磨きのおかげで良い状態を維持されています。
フッ化物配合歯磨剤の使用やフロスによる歯間部の清掃もしていただいています。
定期検診のタイミングでは、高濃度フッ化物の塗布も欠かせません。
今後は、もうすぐ生えてくる「6歳臼歯(第一大臼歯)」をむし歯にしないように守っていくことが重要です。
歯磨きを嫌がるお子さんですが、親御さんの仕上げ磨きのおかげで良い状態を維持されています。
フッ化物配合歯磨剤の使用やフロスによる歯間部の清掃もしていただいています。
定期検診のタイミングでは、高濃度フッ化物の塗布も欠かせません。
今後は、もうすぐ生えてくる「6歳臼歯(第一大臼歯)」をむし歯にしないように守っていくことが重要です。
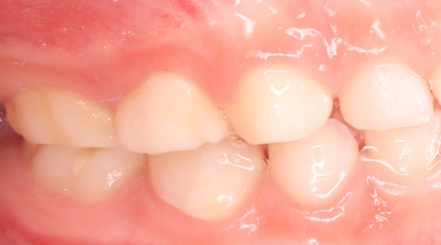
左側
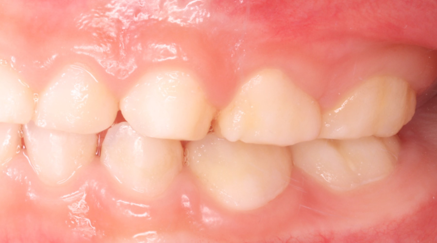
右側
| 期間 | 来院回数1回 |
|---|---|
| 費用 | 保険適用 |
| 治療内容 | 上下左右第二乳臼歯に予防処置としてシーラント実施済 |
| 治療に伴うリスク | 虫歯を完全に防げるわけではない。 シーラントが取れた時場合は再度充填が必要になる。 |






