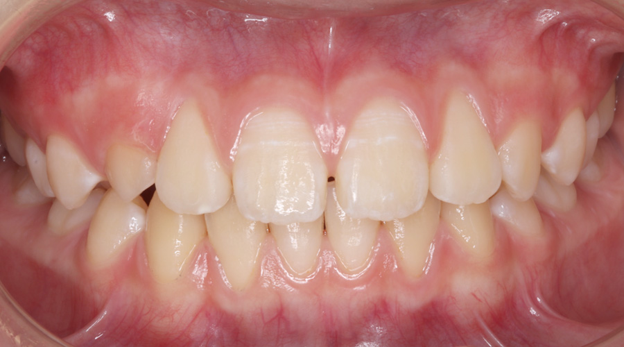
虫歯を防ぎたい【シーラント症例③】
この時期のお子さんは歯磨き習慣がルーズになりがちですが、予防歯科で小さな頃から歯科医院に通院していたため、仕上げ磨きを卒業した後も、習慣が身についており、自分なりに歯磨きを頑張ってくれています。
むし歯ゼロで大人になろうと約束しています。これからは学校や習い事などで忙しい年頃ですが、「痛くなくても定期的に通う、痛くならないためにチェックを受ける」を理解してくれているのできっと実現してくれると信じています!
むし歯ゼロで大人になろうと約束しています。これからは学校や習い事などで忙しい年頃ですが、「痛くなくても定期的に通う、痛くならないためにチェックを受ける」を理解してくれているのできっと実現してくれると信じています!
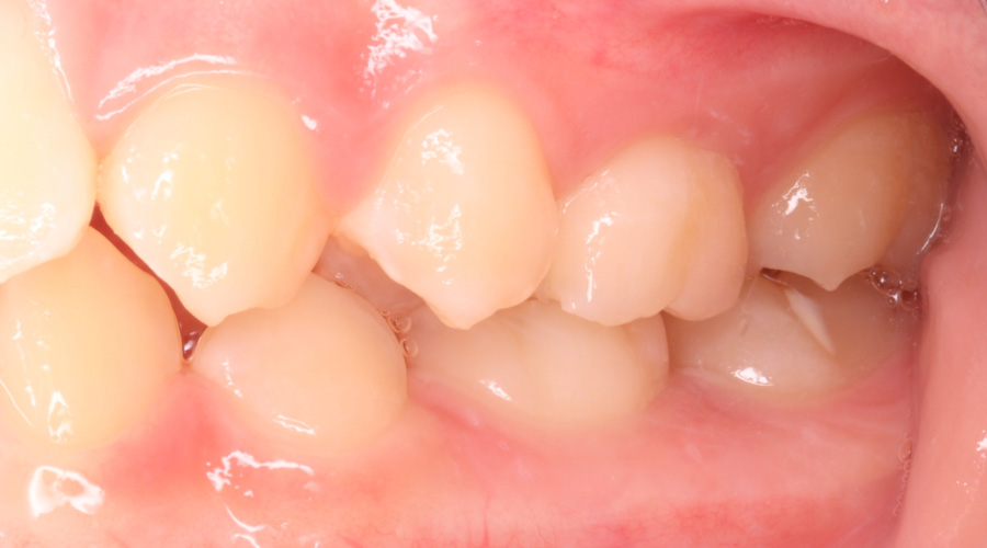
左側
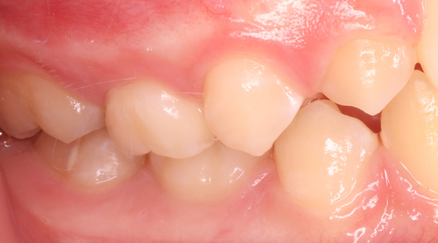
右側
| 期間 | 来院回数1回 |
|---|---|
| 費用 | 保険適用 |
| 治療内容 | 上下左右第一大臼歯、上左右側切歯に予防処置としてシーラント実施済 |
| 治療に伴うリスク | 虫歯を完全に防げるわけではない。 シーラントが取れた時場合は再度充填が必要になる。 |






