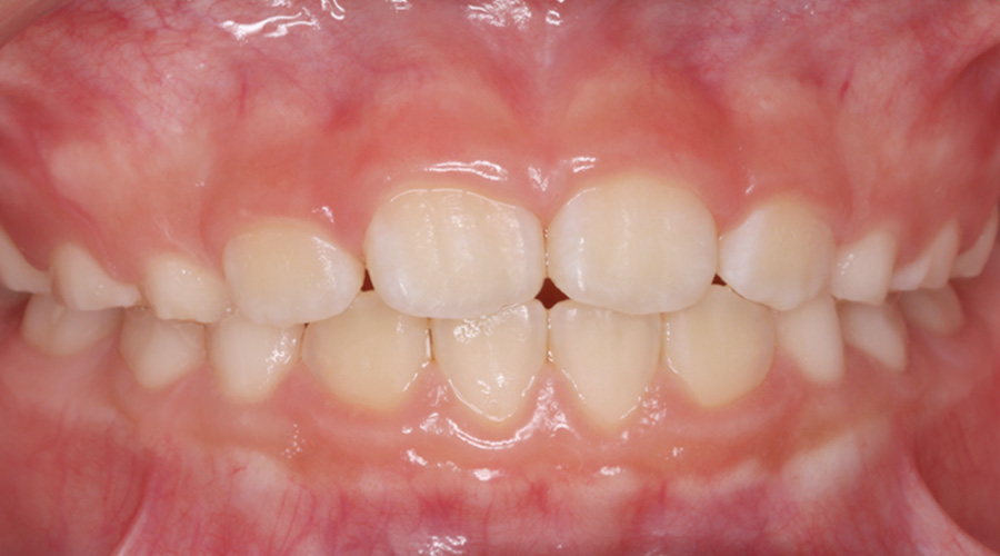
虫歯を防ぎたい【シーラント症例②】
親御さんの仕上げ磨きからも卒業し、自分でブラッシング習慣を身につけていく時期です。
定期的にメインテナンスに来てくれているので成長過程を追うことができています。
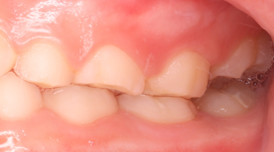
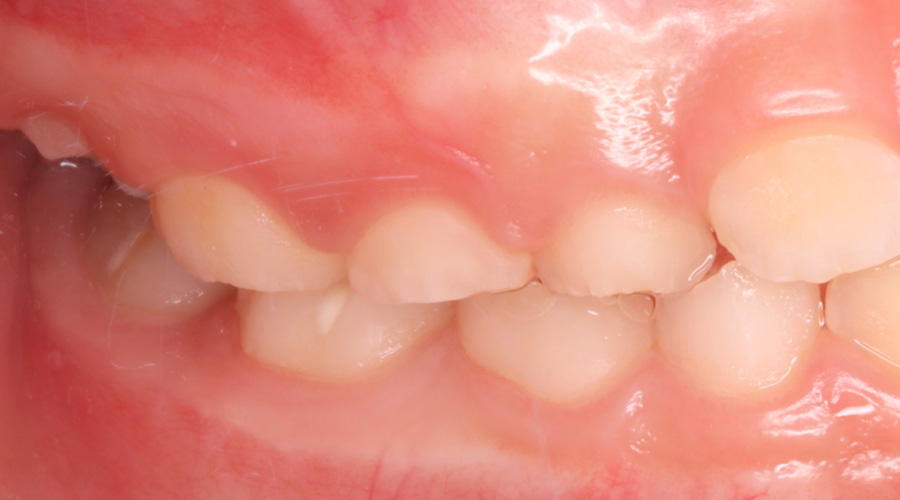
第一大臼歯が交叉咬合で生えてきたため、このタイミングで適切な時期に矯正治療を検討され、現在マイオブレイスによる矯正治療を開始しています。磨きにくい奥歯にシーラントを行い、清掃しやすい環境を整えてあげることでむし歯になるリスクを下げています。
定期的にメインテナンスに来てくれているので成長過程を追うことができています。
第一大臼歯が交叉咬合で生えてきたため、このタイミングで適切な時期に矯正治療を検討され、現在マイオブレイスによる矯正治療を開始しています。磨きにくい奥歯にシーラントを行い、清掃しやすい環境を整えてあげることでむし歯になるリスクを下げています。
上顎
下顎
| 期間 | 来院回数1回 |
|---|---|
| 費用 | 保険適用 |
| 治療内容 | 上下左右第二乳臼歯、第一大臼歯に予防処置としてシーラント実施済 |
| 治療に伴うリスク | 虫歯を完全に防げるわけではない。 シーラントが取れた時場合は再度充填が必要になる。 |






