むし歯を治したい。
長くもつ治療をしてほしい
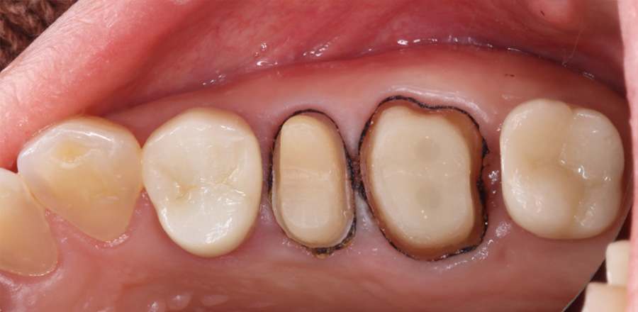
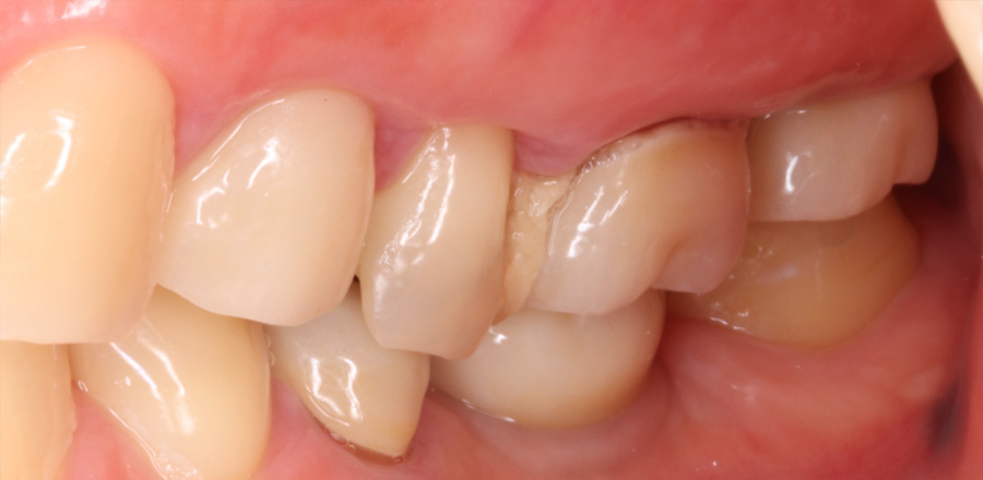
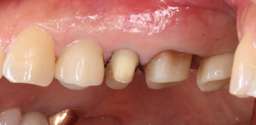
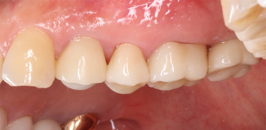
【オールセラミック症例】
左上、前から5、6番目の歯の間にものが詰まりやすく、むし歯にもなっていました。
5番目の歯はむし歯を除去し、神経を残したままで被せ物の治療を、
6番目の歯は土台の下でむし歯になっていたので、むし歯を除去した上で、グラスファイバーの土台と被せ物のやりかえを行いました。
『ジルコニア』という素材を用いたセラミッククラウンで、プラークが停滞しにくく、透明感のある自然な白さを作ることができます。
5番目の歯はむし歯を除去し、神経を残したままで被せ物の治療を、
6番目の歯は土台の下でむし歯になっていたので、むし歯を除去した上で、グラスファイバーの土台と被せ物のやりかえを行いました。
『ジルコニア』という素材を用いたセラミッククラウンで、プラークが停滞しにくく、透明感のある自然な白さを作ることができます。
| 期間 | 約1ヶ月 |
|---|---|
| 費用 | テンポラリークラウン(仮歯)2歯、ファイバーコア(土台)1歯、オールセラミッククラウン2歯 費用総額 341,000円(税込) |
| 治療内容 | むし歯除去、セラミック治療(ジルコニアクラウン) |
| 治療に伴うリスク | 経年使用により、脱離や破折のリスクを伴う。 生活歯でう蝕が大きい場合は、神経を取る治療(根管治療)が必要となる場合がある。 |





















